El estado indio de Jammu y Cachemira declara que el ‘hongo negro’ poscovid es una epidemia
Las autoridades del estado indio de Jammu y de la parte de Cachemira administrada por India han declarado este 24 de mayo que la mucormicosis, conocida como infección del ‘hongo negro’, es una epidemia en la zona, informa la prensa local.
Los gobernantes de esos lugares han tomado esta medida poco después de que se registró la primera muerte por mucormicosis en la zona, un paciente de 40 años que se había recuperado del covid-19 y falleció debido al ‘hongo negro’ el pasado fin de semana.
Además, las autoridades de Jammu y de la parte de Cachemira administrada por India han prolongado hasta finales de mes el toque de queda que establecieron en su momento por el coronavirus y que iban a levantar esta jornada.
La semana pasada, el Gobierno de India instó a todos los estados a declarar esta infección fúngica como epidemia e informar de todos los casos confirmados y sospechosos conforme a la Ley de Enfermedades Epidémicas.
Complicación peligrosa
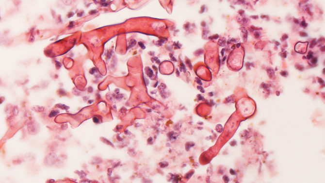
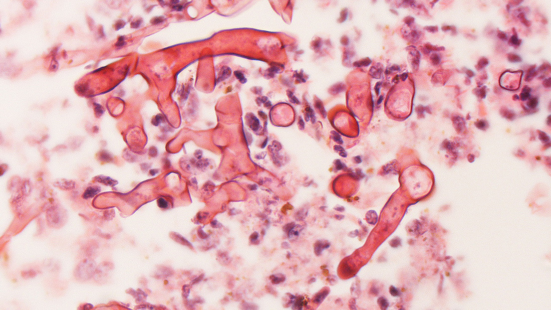
El brote de la mucormicosis se ha estado desarrollando en la India entre sobrevivientes de covid-19 desde finales del año pasado, cuando fue detectado en Nueva Delhi. Desde entonces, los casos se han reportado en varios estados del país. Su número total se desconoce dada la falta de un registro nacional, pero se trata de miles.
La enfermedad habitualmente aparece en pacientes con algún tipo de inmunodeficiencia. Es causada por la exposición al moho que suele encontrarse en el suelo, abono, las plantas, así como en frutas y verduras en descomposición. Por su parte, los médicos indios la consideran actualmente una complicación poscovid.
Entre los síntomas del mal destacan el dolor y enrojecimiento alrededor de los ojos y la nariz, jaquecas, fiebre y tos. Además, puede manifestarse con dificultades respiratorias, vómitos con sangre e, incluso, un estado mental alterado.
En cuanto a las áreas directamente afectadas, la infección puede asentarse en los senos nasales o los pulmones, tras ser inhaladas las esporas del hongo. Las personas más vulnerables son aquellas que han estado tomando muchas medicinas recientemente o que pasaron largo tiempo en unidades de cuidados intensivos.
Entre sobrevivientes del covid-19, la mucormicosis puede implicar en casos extremos la pérdida de la mandíbula superior y de los ojos. Conforme a los Centros Para el Control y Prevención de Enfermedades de EE.UU., la mortalidad a causa de la dolencia es de media de un 54%.
Este brote de ‘hongo negro’ se desarrolla mientras India registra cientos de miles de contagios diarios con el coronavirus.












